Skip to content Skip to sidebar Skip to footer

Widget HTML #1

Medial Epicondyle Of Humerus - Nonoperative medial epicondyle humeral fracture care ... : Diagnosis is made with plain radiographs.

Medial Epicondyle Of Humerus - Nonoperative medial epicondyle humeral fracture care ... : Diagnosis is made with plain radiographs.. The ulnar branch (ramus ulnaris; The ulnar nerve runs in a groove on the back of this epicondyle. The medial collateral ligament originates from the anterior inferior surface of the medial epicondyle and joins the ulna to the humerus, providing support and resistance in valgus overloads. Hence the scientific name medial epicondylitis. Posterior branch) passes obliquely downward on the medial side of the basilic vein, in front of the medial epicondyle of the humerus, to the back of the forearm, and descends on its ulnar side as far as the wrist, distributing filaments to the skin.

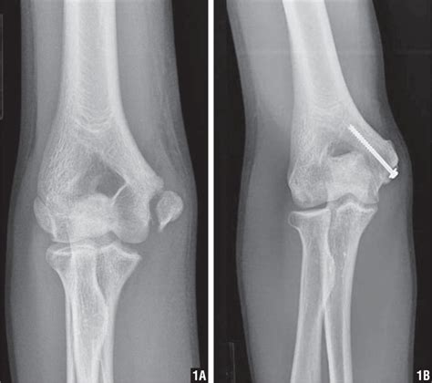
Diagnosis is made with plain radiographs of the humerus and elbow. Medial epicondylar fractures are the third most common fracture seen in children and are usually seen in boys between the age of 9 and 14. The ulnar nerve runs in a groove on the back of this epicondyle. Distal humerus fractures are traumatic injuries to the elbow that comprise of supracondylar fractures, single column fractures, column fractures or coronal shear fractures. A posterior band, which is stressed during elbow flexion;

23 Distal Humerus Fractures | Musculoskeletal Key
23 Distal Humerus Fractures | Musculoskeletal Key from i0.wp.com
A posterior band, which is stressed during elbow flexion; Posterior branch) passes obliquely downward on the medial side of the basilic vein, in front of the medial epicondyle of the humerus, to the back of the forearm, and descends on its ulnar side as far as the wrist, distributing filaments to the skin. The medial collateral ligament originates from the anterior inferior surface of the medial epicondyle and joins the ulna to the humerus, providing support and resistance in valgus overloads. The ulnar nerve runs in a groove on the back of this epicondyle. Medial epicondylar fractures are the third most common fracture seen in children and are usually seen in boys between the age of 9 and 14. In birds, where the arm is somewhat rotated compared to other tetrapods, it is called the ventral epicondyle of the humerus. At the medial epicondyle, your wrist and forearm flexor muscles connect to your upper arm bone. Treatment is nonoperative for the majority of fractures.

In birds, where the arm is somewhat rotated compared to other tetrapods, it is called the ventral epicondyle of the humerus.

It is larger and more prominent than the lateral epicondyle and is directed slightly more posteriorly in the anatomical position. This ligament is divided into an anterior band, which is stressed during elbow extension; Medial epicondylar fractures are the third most common fracture seen in children and are usually seen in boys between the age of 9 and 14. Hence the scientific name medial epicondylitis. Diagnosis is made with plain radiographs of the humerus and elbow. Distal humerus fractures are traumatic injuries to the elbow that comprise of supracondylar fractures, single column fractures, column fractures or coronal shear fractures. In comparative anatomy, the more neutral te. The ulnar branch (ramus ulnaris; The ulnar nerve runs in a groove on the back of this epicondyle. The medial epicondyle, larger and more prominent than the lateral, is directed a little backward; At the medial epicondyle, your wrist and forearm flexor muscles connect to your upper arm bone. In birds, where the arm is somewhat rotated compared to other tetrapods, it is called the ventral epicondyle of the humerus. The medial collateral ligament originates from the anterior inferior surface of the medial epicondyle and joins the ulna to the humerus, providing support and resistance in valgus overloads.

The medial collateral ligament originates from the anterior inferior surface of the medial epicondyle and joins the ulna to the humerus, providing support and resistance in valgus overloads. This ligament is divided into an anterior band, which is stressed during elbow extension; In birds, where the arm is somewhat rotated compared to other tetrapods, it is called the ventral epicondyle of the humerus. A posterior band, which is stressed during elbow flexion; In comparative anatomy, the more neutral te.

Flashcards Table on Muscle Flashcards
Flashcards Table on Muscle Flashcards from www.proprofs.com
Diagnosis is made with plain radiographs. It is larger and more prominent than the lateral epicondyle and is directed slightly more posteriorly in the anatomical position. This ligament is divided into an anterior band, which is stressed during elbow extension; Distal humerus fractures are traumatic injuries to the elbow that comprise of supracondylar fractures, single column fractures, column fractures or coronal shear fractures. At the medial epicondyle, your wrist and forearm flexor muscles connect to your upper arm bone. Posterior branch) passes obliquely downward on the medial side of the basilic vein, in front of the medial epicondyle of the humerus, to the back of the forearm, and descends on its ulnar side as far as the wrist, distributing filaments to the skin. In birds, where the arm is somewhat rotated compared to other tetrapods, it is called the ventral epicondyle of the humerus. Diagnosis is made with plain radiographs of the humerus and elbow.

The medial epicondyle of the humerus is an epicondyle of the humerus bone of the upper arm in humans.

Posterior branch) passes obliquely downward on the medial side of the basilic vein, in front of the medial epicondyle of the humerus, to the back of the forearm, and descends on its ulnar side as far as the wrist, distributing filaments to the skin. In birds, where the arm is somewhat rotated compared to other tetrapods, it is called the ventral epicondyle of the humerus. The ulnar branch (ramus ulnaris; In comparative anatomy, the more neutral te. At the medial epicondyle, your wrist and forearm flexor muscles connect to your upper arm bone. The medial epicondyle, larger and more prominent than the lateral, is directed a little backward; Distal humerus fractures are traumatic injuries to the elbow that comprise of supracondylar fractures, single column fractures, column fractures or coronal shear fractures. Diagnosis is made with plain radiographs. Diagnosis is made with plain radiographs of the humerus and elbow. This ligament is divided into an anterior band, which is stressed during elbow extension; The ulnar nerve runs in a groove on the back of this epicondyle. A posterior band, which is stressed during elbow flexion; The medial epicondyle of the humerus is an epicondyle of the humerus bone of the upper arm in humans.

Hence the scientific name medial epicondylitis. Diagnosis is made with plain radiographs. The medial epicondyle, larger and more prominent than the lateral, is directed a little backward; It is larger and more prominent than the lateral epicondyle and is directed slightly more posteriorly in the anatomical position. At the medial epicondyle, your wrist and forearm flexor muscles connect to your upper arm bone.

Lateral humeral condylar fracture | Image | Radiopaedia.org
Lateral humeral condylar fracture | Image | Radiopaedia.org from images.radiopaedia.org
Diagnosis is made with plain radiographs of the humerus and elbow. The medial epicondyle, larger and more prominent than the lateral, is directed a little backward; Treatment is nonoperative for the majority of fractures. In comparative anatomy, the more neutral te. This ligament is divided into an anterior band, which is stressed during elbow extension; A posterior band, which is stressed during elbow flexion; Diagnosis is made with plain radiographs. Distal humerus fractures are traumatic injuries to the elbow that comprise of supracondylar fractures, single column fractures, column fractures or coronal shear fractures.

Posterior branch) passes obliquely downward on the medial side of the basilic vein, in front of the medial epicondyle of the humerus, to the back of the forearm, and descends on its ulnar side as far as the wrist, distributing filaments to the skin.

A posterior band, which is stressed during elbow flexion; Posterior branch) passes obliquely downward on the medial side of the basilic vein, in front of the medial epicondyle of the humerus, to the back of the forearm, and descends on its ulnar side as far as the wrist, distributing filaments to the skin. The medial collateral ligament originates from the anterior inferior surface of the medial epicondyle and joins the ulna to the humerus, providing support and resistance in valgus overloads. The ulnar branch (ramus ulnaris; This ligament is divided into an anterior band, which is stressed during elbow extension; In birds, where the arm is somewhat rotated compared to other tetrapods, it is called the ventral epicondyle of the humerus. Treatment is nonoperative for the majority of fractures. Medial epicondylar fractures are the third most common fracture seen in children and are usually seen in boys between the age of 9 and 14. The ulnar nerve runs in a groove on the back of this epicondyle. In comparative anatomy, the more neutral te. The medial epicondyle of the humerus is an epicondyle of the humerus bone of the upper arm in humans. Distal humerus fractures are traumatic injuries to the elbow that comprise of supracondylar fractures, single column fractures, column fractures or coronal shear fractures. Hence the scientific name medial epicondylitis.